Does Neck Ultrasound Show Cancer / Us Of Pediatric Superficial Masses Of The Head And Neck Radiographics - The doctor will also inspect the nose, mouth, throat, and tongue for abnormalities, often using a light and a mirror for a.
Dapatkan link
Facebook
X
Pinterest
Email
Aplikasi Lainnya
Does Neck Ultrasound Show Cancer / Us Of Pediatric Superficial Masses Of The Head And Neck Radiographics - The doctor will also inspect the nose, mouth, throat, and tongue for abnormalities, often using a light and a mirror for a.. Before the node starts the lesions even very experienced specialist, the device will be able to register an increase, its contour irregularity, violation of the structure. The ultrasound technician (sonographer) may position your head to better access the side of your neck. An ultrasound may be used to check for certain cancers in various different ways including to detect abnormal tumors, growths or lumps. Ultrasound does not show the structures inside joints, dr. Cysts or abnormal growths in the liver, spleen, or pancreas.
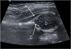
When evaluating a patient with a thyroid nodule, assessment of the lymph nodes, particularly in the lateral neck, provides important clues regarding the malignancy risk. In addition, the following tests may be used to diagnose head and neck cancer: Optimal positioning and exposure of the neck for ultrasound of the thyroid and parathyroid glands (a, b) and lateral neck for lymph node examination and mapping (c).while the vast majority of patients are supine on the exam table with a pillow supporting the shoulders to allow gentle neck extension, keep in mind that some patients have beautiful anatomy (d) that allows ultrasound exam even in. A biopsy can be performed in cases where ultrasound cannot differentiate benign from malignant tumours. Before the node starts the lesions even very experienced specialist, the device will be able to register an increase, its contour irregularity, violation of the structure.
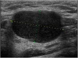
Diagnosis Of Papillary Thyroid Cancer from www.thyroidcancer.com The image may or may not suggest cancer, but definitive diagnosis requires removal of. Surgical levels of the neck. It can detect abnormal tissues, growths, and cysts and give a suspicion of cancer based on how those images look. This test will usually help determine that the nodule has a low chance of being cancerous (has characteristics of a benign nodule), or that it has some characteristics of a cancerous nodule, and therefore a biopsy is indicated. Level i constitutes lymph nodes above the anterior and posterior bellies of the digastric muscle cephalad to the hyoid bone and inferior to the inferior border of the mandible and includes the submental group of nodes. Thyroid nodules that are hypervascular, hypoechioc, or contain calcifications on ultrasound are more likely to be malignant. Ultrasound does not show the structures inside joints, dr. A neck ultrasound may help diagnose (find):
It can be used with a fine needle aspiration test or core biopsy test to accurately direct the tip of the needle into the lump.
Physical examination/blood and urine tests. Surgical levels of the neck. Ultrasound and mapping of neck lymph nodes. Ultrasound is often one of the first line tests in the detection of cancer. Ultrasound does not show the structures inside joints, dr. Doctors often use ultrasound to guide a needle to do a biopsy (taking out fluid or small pieces of tissue to be looked at under a microscope). It can be used with a fine needle aspiration test or core biopsy test to accurately direct the tip of the needle into the lump. Before the node starts the lesions even very experienced specialist, the device will be able to register an increase, its contour irregularity, violation of the structure. The ultrasound technician (sonographer) may position your head to better access the side of your neck. Likewise, how do they test for thyroid cancer? A biopsy can be performed in cases where ultrasound cannot differentiate benign from malignant tumours. Keep in mind, however, that an ultrasound alone cannot make the diagnosis of cancer. Fna might also be used in patients whose cancer has been treated by surgery and/or radiation therapy, to help find out if a neck mass in the treated area is scar tissue or if it's a return (recurrence) of the cancer.
Ultrasound does have some limitations, and there are situations when mri is needed instead. Likewise, how do they test for thyroid cancer? An ultrasound may be used to check for certain cancers in various different ways including to detect abnormal tumors, growths or lumps. The sonographer will apply a warm gel to your skin above the site of each carotid artery. Detecting thyroid nodules that require a biopsy.
Singing Plays A Key Role In Thyroid Cancer Test Physics World from physicsworld.com The diagnosis of papillary thyroid cancer is made with an ultrasound guided small sampling of cells from the thyroid gland or neck lymph nodes (or both in some instances). Lab tests of biopsy samples The sonographer then gently presses the transducer against the side of your neck. If this lump is of concern then a biopsy would be the next step. Likewise, how do they test for thyroid cancer? An ultrasound may be used to check for certain cancers in various different ways including to detect abnormal tumors, growths or lumps. To diagnose thyroid nodules or cancers, your doctor performs a physical exam, takes a medical history, and asks about your symptoms. During a physical examination, the doctor feels for any lumps on the neck, lips, gums, and cheeks.
The sonographer will apply a warm gel to your skin above the site of each carotid artery.
Ultrasoundis very sensitive and showsmany nodules that cannot be felt. In addition, the following tests may be used to diagnose head and neck cancer: Ultrasound does not show the structures inside joints, dr. Fna might also be used in patients whose cancer has been treated by surgery and/or radiation therapy, to help find out if a neck mass in the treated area is scar tissue or if it's a return (recurrence) of the cancer. Ultrasound technology cannot find ulcers, but other types of diagnostic tests can. Some research explores the potential for finding ulcers with an ultrasound, but experts do not have enough data to recommend it. The path report states loose fragments of poorly differentiated malignant epithelial cells with enlarged hyperchromatic irregular nuclei and apoptosis are seen in a hemorragic background that includes few scattered atypical keratinized squamous cells. Testing lymph nodes the lymph nodes in the neck are often the first place cancer cells spread to outside the primary site. Ultrasoundimaging is a noninvasive medical test that helps physicians diagnose and treat medical conditions. If this lump is of concern then a biopsy would be the next step. Cancer of the liver or fatty. Optimal positioning and exposure of the neck for ultrasound of the thyroid and parathyroid glands (a, b) and lateral neck for lymph node examination and mapping (c).while the vast majority of patients are supine on the exam table with a pillow supporting the shoulders to allow gentle neck extension, keep in mind that some patients have beautiful anatomy (d) that allows ultrasound exam even in. Abnormal enlargement of the spleen.
The ultrasound technician (sonographer) may position your head to better access the side of your neck. Each case is different and your doctor will explain your treatment options. Ultrasound cannot tell whether a tumor is cancer. The sonographer then gently presses the transducer against the side of your neck. Ultrasound and mapping of neck lymph nodes.
Cureus Evaluation Of B Mode And Color Doppler Ultrasound In The Diagnosis Of Malignant Cervical Lymphadenopathy from assets.cureus.com If cancer is found in a lymph node, you may need a neck dissection or other additional treatment. A neck ultrasound may help diagnose (find): Throat cancer is often easily seen by an ent exam. The sonographer then gently presses the transducer against the side of your neck. The gel helps transmit the ultrasound waves back and forth. Level i constitutes lymph nodes above the anterior and posterior bellies of the digastric muscle cephalad to the hyoid bone and inferior to the inferior border of the mandible and includes the submental group of nodes. If the person has a lump in the neck, an fna can show if the mass is from cancer spread. Cysts or abnormal growths in the liver, spleen, or pancreas.
This test will usually help determine that the nodule has a low chance of being cancerous (has characteristics of a benign nodule), or that it has some characteristics of a cancerous nodule, and therefore a biopsy is indicated.
Confirming that a lump in the neck is developing from the thyroid or connected tissue. The sonographer then gently presses the transducer against the side of your neck. Identification of a suspicious lymph node increases the likelihood of cancer and may warrant fna of the node in lieu of the thyroid (see fig. Surgical levels of the neck. This test will usually help determine that the nodule has a low chance of being cancerous (has characteristics of a benign nodule), or that it has some characteristics of a cancerous nodule, and therefore a biopsy is indicated. The ultrasound technician (sonographer) may position your head to better access the side of your neck. During a physical examination, the doctor feels for any lumps on the neck, lips, gums, and cheeks. Abnormal enlargement of the spleen. In my experience an ultrasound won't tell you if you have cancer, it just shows a lump. If cancer is found in a lymph node, you may need a neck dissection or other additional treatment. Doctors often use ultrasound to guide a needle to do a biopsy (taking out fluid or small pieces of tissue to be looked at under a microscope). Throat cancer is often easily seen by an ent exam. It can detect abnormal tissues, growths, and cysts and give a suspicion of cancer based on how those images look.
The looping video app introduced a new quality setting that allows you to post vines in hd. This is our new notification center. Test the speed of a flash usb drive with this freebie. Here is a beginners guide to what you need to know about high definition camcorders before you buy one. The stuff found on your pc. Simple method to assess your next crypto investment | by from miro.medium.com Colorful outdoor backgrounds can help you to feel relaxed or energized for the rest of the day. High definition (hd) camcorders are a natural fit for the growing number of hdtvs in our living ro. The stuff found on your pc. Test the speed of a flash usb drive with this freebie. While the device is larg. Here is a beginners guide to what you need to know about high definition camcorders before you buy one. This is our new notification center. The looping...
Tires Plus Credit Card Make Payment - Autopass Finance For Tire Service Centers - At a canadian tire store: . At a canadian tire store: The tires plus credit card is issued by credit first, n.a., and they provide you with an online payment service to make the management of your account simpler. (card payments) you can use all major credit and debit cards including mastercard, visa, switch and delta. In case of the urgent requirement of the service or repair for your car, you have your funds available and this accessibility of credit to meet your urgent need gives you relief. You can make a firestone credit card. The tires plus credit card is conveniently accepted at thousands of automotive service locations. Interest will be charged to your account from the purchase date if the purchase balance is not paid in full within 6 months or if you make a late payment. Know it that as soon as you take up the attitude of late payment, it reduces your. The tires plus credit car...
Where Can I Make Business Cards Online : Make Free Business Cards Online Jwginternational : Create business card online that make an impression. . That's a networking tool you can share proudly with potential clients and new customers. Select the template that works best for your business. And with vistaprint free shipping on all business card templates: Make your own business cards at zazzle! Custom business cards in a range of paper & size styles. Skip the expensive designers and make your own custom business card. Make a logo for your professional business card, at no additional cost. At hotcards, we only print high quality, affordable business cards. Create a brand with this free business card maker. Use crello's templates and tools. How To Create Your Business Cards In Word Professional And Print Ready In 4 Easy Steps Youtube from i.ytimg.com ...
Komentar
Posting Komentar